春节餐桌上的鱼,竟成致命“杀手”!有些人每年都中招
创始人
2026-02-20 12:31:25
0

春节的餐桌,总少不了一条“带刺的整鱼”。它象征着年年有余,也承载着很多家庭的团圆记忆。

但在每年节后,耳鼻喉科、急诊室都会迎来一波相似的患者——鱼刺卡喉,这个容易被忽视,实际上却很危险的餐桌问题。

而决定结局的不是鱼刺多大,而是——它卡在了哪里,以及你之后做了什么。

鱼刺通常会卡在哪里?

从常见到危险位置的分布

从大样本数据来看,鱼刺最常停留在上呼吸消化道的解剖狭窄或黏膜褶皱处。一项纳入 1293 名患者的回顾性队列研究显示,真正被确认存在鱼刺的患者中,大多数异物位于口咽和下咽区域,包括腭扁桃体、舌根、会厌谷和梨状窝等部位。这些位置对吞咽动作非常敏感,因此哪怕鱼刺不大,也容易产生明显异物感和疼痛。

值得注意的是,“感觉在哪里”并不等于“鱼刺在哪里”。在这项研究中,很多患者主观定位并不准确,而单纯依靠症状判断,容易低估风险[1]。这也是为什么一些人反复觉得不适,却在最初检查中未发现明确异物。

真正容易酿成严重后果的,是鱼刺进入食管或穿透黏膜后的情况。虽然发生比例不高,但一旦发生,风险急剧上升。研究显示,鱼刺导致的穿孔、脓肿等并发症总体发生率不高,但一旦出现,往往需要更复杂的影像学检查甚至手术处理。

还有一类情况相对少见,却最容易被忽视:鱼刺移位。综述性研究总结了多种鱼刺穿透咽部或消化道后迁移至颈部、纵隔、肺、肝脏等部位的病例。这些患者中,有人最初症状轻微,甚至短暂缓解,但随后出现发热、感染或器官损伤,诊断往往被延误。

罕见鱼骨撞击点的分布 图源:参考资料

鱼刺卡住后该怎么做?

当怀疑鱼刺卡住时,应该立即就诊。

绝大多数鱼刺相关问题,首选科室是耳鼻喉科;如果出现胸痛、持续发热或吞咽明显困难,往往需要联合消化科或外科进一步评估[1]。评估时,对于怀疑有鱼刺卡住,但是普通颈部 X 线又没发现时,可以考虑进一步拍摄 CT,提高准确性。

绝大多数严重病例,并不是因为鱼刺本身,而是因为后续处理不当。在临床报道的严重病例中,鱼刺本身通常并不巨大,真正拉开结局差距的是“是否反复吞咽、是否试图自行处理、以及是否延误就诊时间”。这些行为会让鱼刺更容易嵌入更深的组织层次,甚至发生移位,从而增加取出难度和并发症风险。

被鱼刺卡住后

这些民间办法很危险

在临床病例中,真正让医生皱眉的,往往不是鱼刺,而是患者尝试过的处理方式。

最常见的,是吞饭团、馒头或其他干硬食物。在鱼刺移位的病例分析中,研究者明确指出,强行吞咽可能推动鱼刺穿透黏膜,进入周围组织,增加感染和器官损伤风险[2]。一些严重并发症,正是在这种自救过程中发生的。

吞下一口饭,事实可能会这样

另一个广泛流传的方法,是喝醋软化鱼刺。但医学证据恰恰相反。一项病例报告显示,饮用普通食用醋不仅不能溶解鱼刺,反而可能造成口咽和食管的腐蚀性损伤[4]。这类损伤在内镜下表现为明确的黏膜炎症甚至溃疡,而鱼刺往往并未因此消失。

患者黏膜出现组织脱落和白色渗出物 图源:参考资料

还有人会反复抠喉、诱发呕吐,试图把鱼刺带出来。从力学和解剖结构来看,这种操作既难以精准作用于异物,又可能造成新的黏膜损伤,为感染埋下隐患。

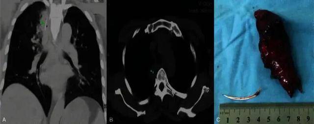
在极少数情况下,鱼刺甚至可能因为反复的错误尝试穿透食管进入胸腔或肺部。一例病例报道显示,患者在误吞鱼刺后出现肺部脓肿,最终需要胸腔镜手术取出异物[5]。

A图和B图为一根长4厘米的鱼刺嵌在右肺上叶的脓肿中。C图为鱼刺和肺脓肿的合影。图源:参考资料

这类情况虽然罕见,却清楚地说明了一点:错误处理,会把一个原本可控的问题,推向高风险路径。

如何预防鱼刺卡在喉咙?

整鱼上桌、边聊边吃、灯光昏暗,是春节常见场景,却会显著增加误吞概率。

进食节奏同样关键。研究显示,中老年人群因为吞咽功能下降,更容易发生鱼刺异物[3]。这类人群在吃鱼时,更需要放慢速度。或者提前去除明显的大刺、为老人和孩子分好鱼肉,能实实在在降低风险。

我个人一直强调一个观点:吃鱼时的专注度,本身就是一种医学干预。它不需要额外成本,却可能避免一次不必要的急诊就医。

从医学证据来看,鱼刺最可怕的部分,不在入口,而在后续选择。不急着吞、不迷信偏方、及时就医,再加上一点点预防意识,足以覆盖绝大多数风险。

相关内容

清华大学:周炳琨同志逝世
据清华大学官方公众号消息,中国共产党党员,中国科学院院士,我国激光...
2026-02-20 13:46:42
热气腾腾的中国年|这张新春...
2018年2月15日,对于香港小朋友郭宏晞、罗颢凝来说,是一个难忘...
2026-02-20 13:46:13
比尔·盖茨,突然取消行程
据参考消息援引新加坡《联合早报》2月19日报道,盖茨基金会宣布,科...
2026-02-20 13:45:53
突发讣告!周炳琨院士逝世,...
今早(2月20日),清华大学发布讣告:沉痛悼念深切缅怀周炳琨院士。...
2026-02-20 13:45:26
老太太骑车摔倒,初中女生路...
2月19日,福建一女子骑自行车拐弯时不慎摔倒,俩初中生骑电动车经过...
2026-02-20 13:44:59
原创 ...
在国际渔业争端中,东海与黄海的风波正愈演愈烈。最近的事件显示出,日...
2026-02-20 13:44:40
除夕夜,上海老夫妻捡到7万...
除夕夜 小朋友的压岁钱竟不慎丢失! 所幸 热心市民拾遗后第一时间 ...
2026-02-20 13:44:24
春节假期前五日江门开平接待...
进入专栏 金蛇辞岁留瑞福,骏马迎春启新程!2026马年春节,开平市...
2026-02-20 13:43:45
上海一商场被吐槽:规则不合...
“小程序里明明写着‘会员专享1H停车券’,结账时却还要收7块钱,这...
2026-02-20 13:43:25

热门资讯

湖南新化消防车坠崖,6名消防员... 大风新闻消息,2月19日16时许,湖南新化县消防救援局一辆消防车在当地炉观镇完成灭火救援任务后,返程...
2026年大连装修公司推荐指南... 在装修行业中,选择一家值得信赖的装修公司是确保装修质量和效果的关键。方林装饰作为一家创立于2000年...
如何选择大连装修公司?方林装饰... 大连装修市场概况 大连装修市场发展成熟,各类装修公司众多,为业主提供多样选择。不同公司在风格、价格、...
大年初四 | 祝砂石同仁岁岁皆... 今天是大年初四 按照传统习俗 是家家户户迎灶神的日子 其实,迎接灶神的民俗 承载的是人们 祈求幸...
闲谈板式暖气片供应商口碑,哪家... 在当今的采暖市场中,板式暖气片凭借其独特的优势逐渐成为众多消费者的热门选择。河北夏洛克暖通设备有限公...
分享靠谱的书桌书架一体家具工厂... 在家具选购的过程中,书桌书架一体家具、板式家具衣柜以及推拉门衣柜等都是备受关注的品类。如今市场上家具...
春节餐桌上的鱼,竟成致命“杀手... 春节的餐桌,总少不了一条“带刺的整鱼”。它象征着年年有余,也承载着很多家庭的团圆记忆。 但在每年节后...
嘉兴怡家美居建筑科技有限公司 ... 嘉兴怡家美居建筑科技有限公司 全屋定制成就温馨家园 嘉兴怡家美居建筑科技有限公司深知家对于每个人的重...
湖南创益讯新型材料有限公司 提... 湖南创益讯新型材料有限公司 提供个性化定制的装修设计服务 ### 一、公司简介与实力背景 湖南创益讯...